Patient before & afters
Incredible results with Oliv
See real patient transformations accomplished by providers using Oliv aligners.
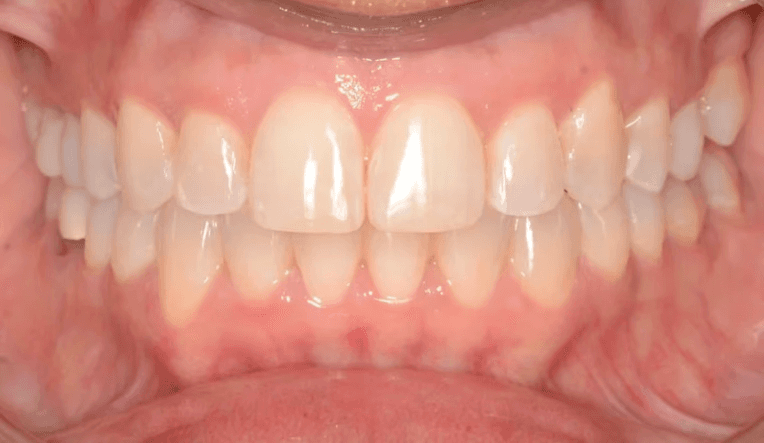
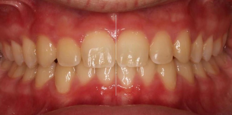
Class III Crowding
Male, 21 | Treatment time: 8.5 months
Diagnosis:
Class III malocclusion, edge-to-edge anterior relationship, lower anterior crowding

Treated by: Dr. Robert Geiman
Child & Adult Orthodontics
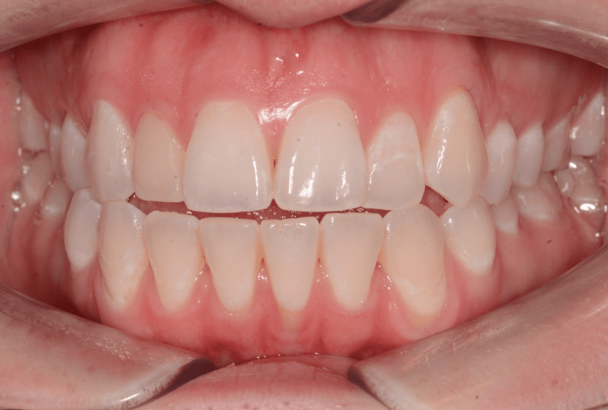
Multiple Crossbites
Female, 37 | Treatment time: 13 months
Diagnosis:
Moderate crowding in both arches, constricted arch forms with anterior and posterior single tooth crossbites, poor smile display

Treated by: Dr. Clark Colville
Clinical Lead at Oliv, Orthodontic Specialists
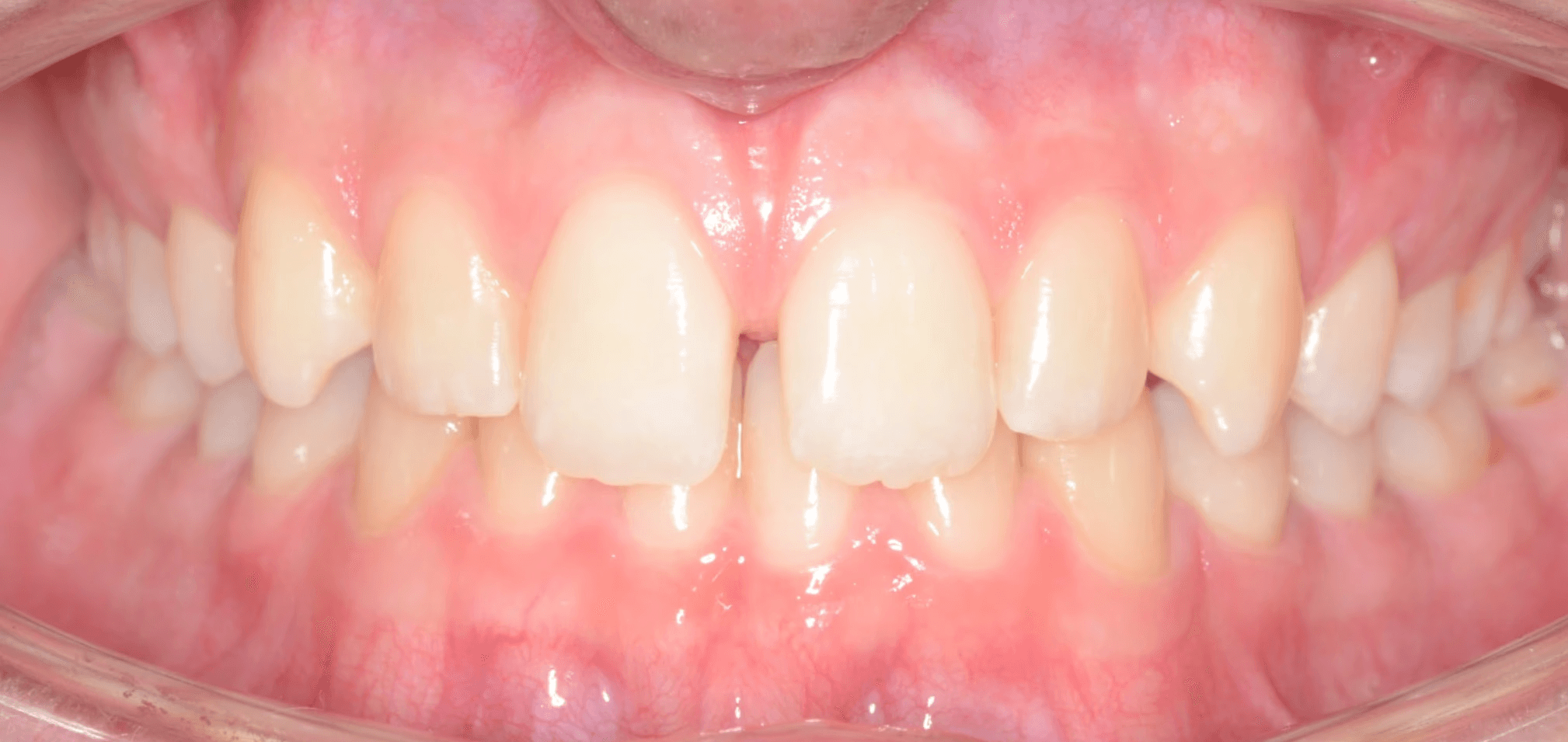
Adolescent Treatment
Male, 15 | Treatment time: 10 months
Diagnosis:
Mild crowding and spacing, reclined anterior teeth, moderate lower curve of Spee, minimal smile display

Treated by: Dr. Clark Colville
Clinical Lead at Oliv, Orthodontic Specialists
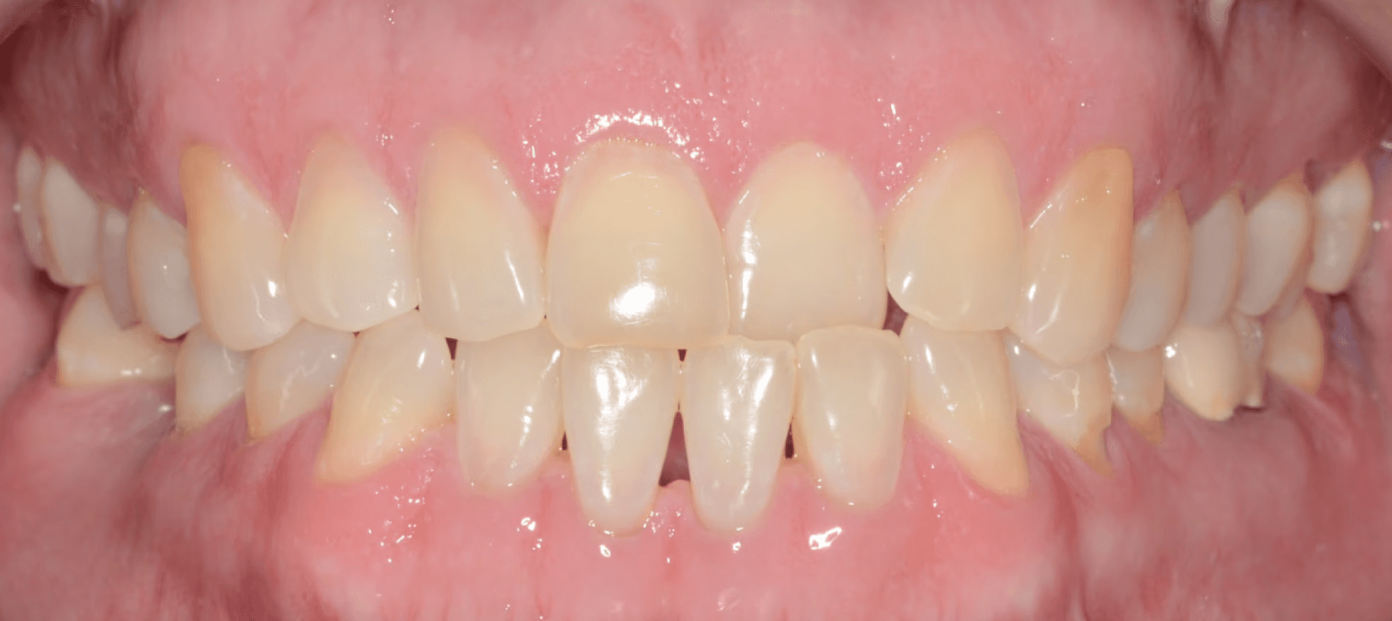
Crossbite, Deep Bite
Female, 43 | Treatment time: 12 months
Diagnosis:
Lower anterior crowing, LL3 crossbite, deep bite, missing UL6.

Dr. Akash Pandya
Anterior Open Bite
Female, 23 | Treatment time: 8 months
Diagnosis:
Anterior open bite, mild crowding, posterior occlusal contacts

Dr. Akash Pandya
Moderate Crowding
Male, 50 | Treatment time: 10 months
Diagnosis:
Minor and moderate crowding, anterior open bite, reverse smile arc, narrow maxilla, crossbite, tapered arch form

Treated by: Dr. Clark Colville
Clinical Lead at Oliv, Orthodontic Specialists
Mild Crowding
Female, 34 | Treatment time: 13 months
Diagnosis:
Deep bite, lower anterior crowding, rotated upper lateral, arch misalignment, wear on teeth from grinding

Treated by: Dr. Blake Davis
Moderate Crowding
Female, 35 | Treatment time: 10 months
Diagnosis:
Crowding, narrow arches, lower midline to the right

Treated by: Dr. Robert Geiman
Child & Adult Orthodontics
Spacing, Deep Bite
Male, 14 | Treatment time: 14 months
Diagnosis:
Anterior spacing, deep bite, overbite

Dr. Akash Pandya
Mild Crowding
Female, 33 | Treatment time: 9 months
Diagnosis:
Moderate lower anterior crowding, square and narrow maxilla, rotated #19

Treated by: Dr. Geoff Sudit
Commercial Lead at Oliv, Mint Orthodontics
Mild Crowding
Male, 52 | Treatment time: 15 months
Diagnosis:
A mix of crowding and mild spacing, moderate curve of Spee, black triangles, significant overjet, reverse smile display

Treated by: Dr. Clark Colville
Clinical Lead at Oliv, Orthodontic Specialists
Pre-restorative
Female, 73 | Treatment time: 20 months
Diagnosis:
Complex pre-restorative treatment to open bite, mild to moderate upper and lower crowding, incisal wear in both arches

Treated by: Dr. Clark Colville
Clinical Lead at Oliv, Orthodontic Specialists
Mild Crowding
Female, 14 | Treatment time: 21 months
Diagnosis:
Lower anterior crowding, mild maxillary spacing, misalignment of anterior teeth, rotated premolars and molars

Treated by: Dr. Clark Colville
Clinical Lead at Oliv, Orthodontic Specialists
Anterior Crossbite
Male, 48 | Treatment time: 14 months
Diagnosis:
Anterior crossbite, Class III tendency, moderate crowding/rotations, pre-restorative

Dr. Akash Pandya




























