Treatment details

Dr. Robert Geiman
Child & Adult Orthodontics
Moderate Crowding
Female, 35 | Treatment time: 10 months
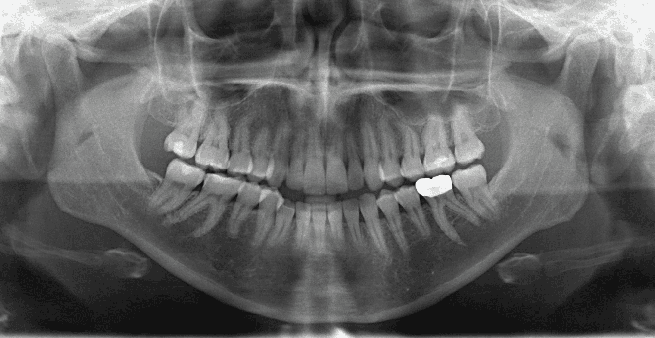
Diagnosis: Crowding, narrow arches, lower midline to the right
Adjuncts: Attachments, IPR
Initial treatment
INTRAORAL


X-RAYS

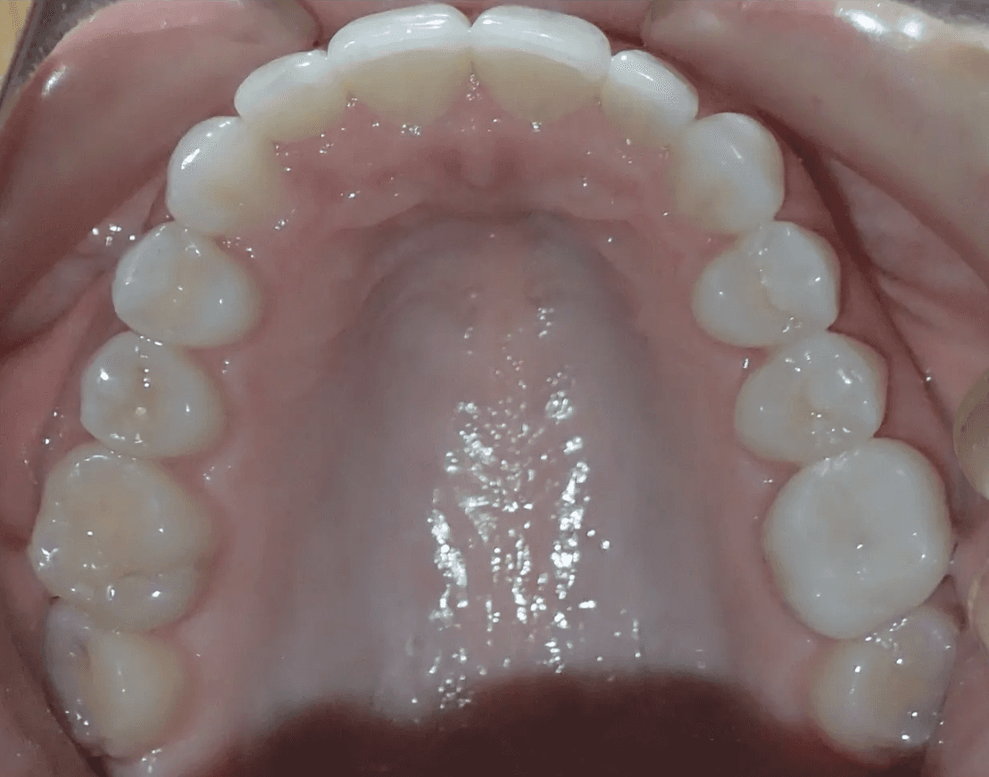
Final results
INTRAORAL

X-RAYS








