Treatment details

Dr. Robert Geiman
Child & Adult Orthodontics
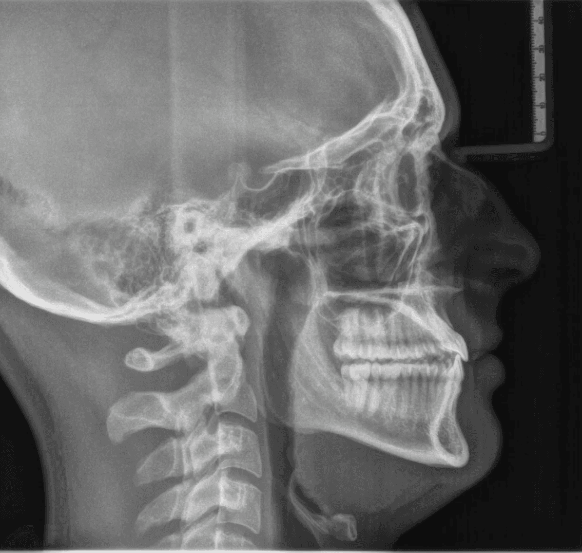
Class III Crowding
Male, 21 | Treatment time: 8.5 months
Diagnosis: Class III malocclusion, edge-to-edge anterior relationship, lower anterior crowding
Adjuncts: Elastics, attachments, IPR
Initial treatment
INTRAORAL

X-RAYS

Final results
INTRAORAL

X-RAYS











