Treatment details

Dr. Akash Pandya
SmileOn Orthodontics
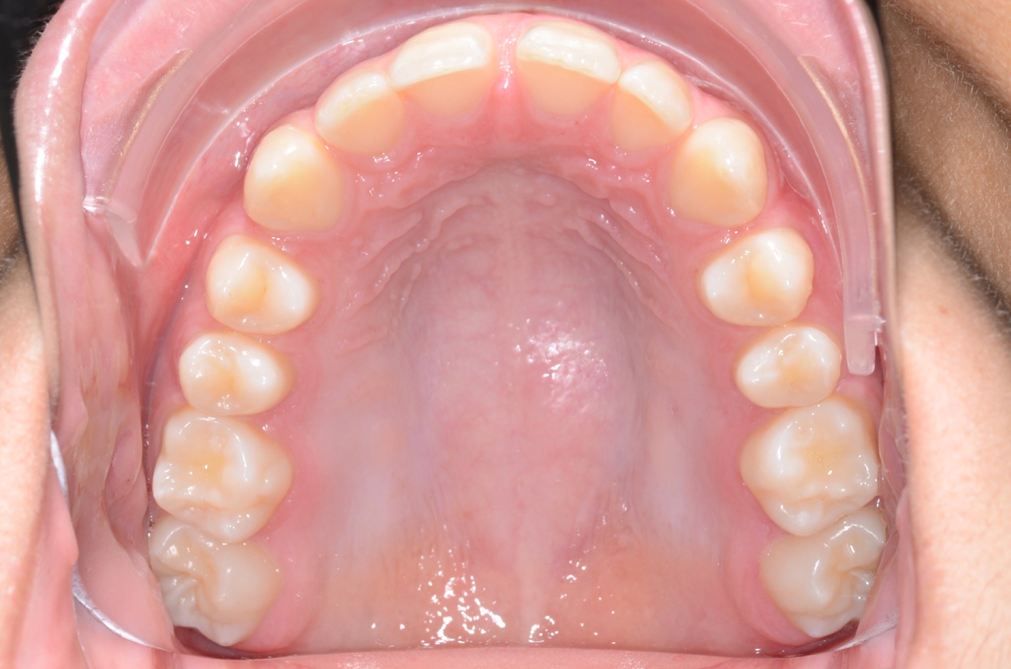
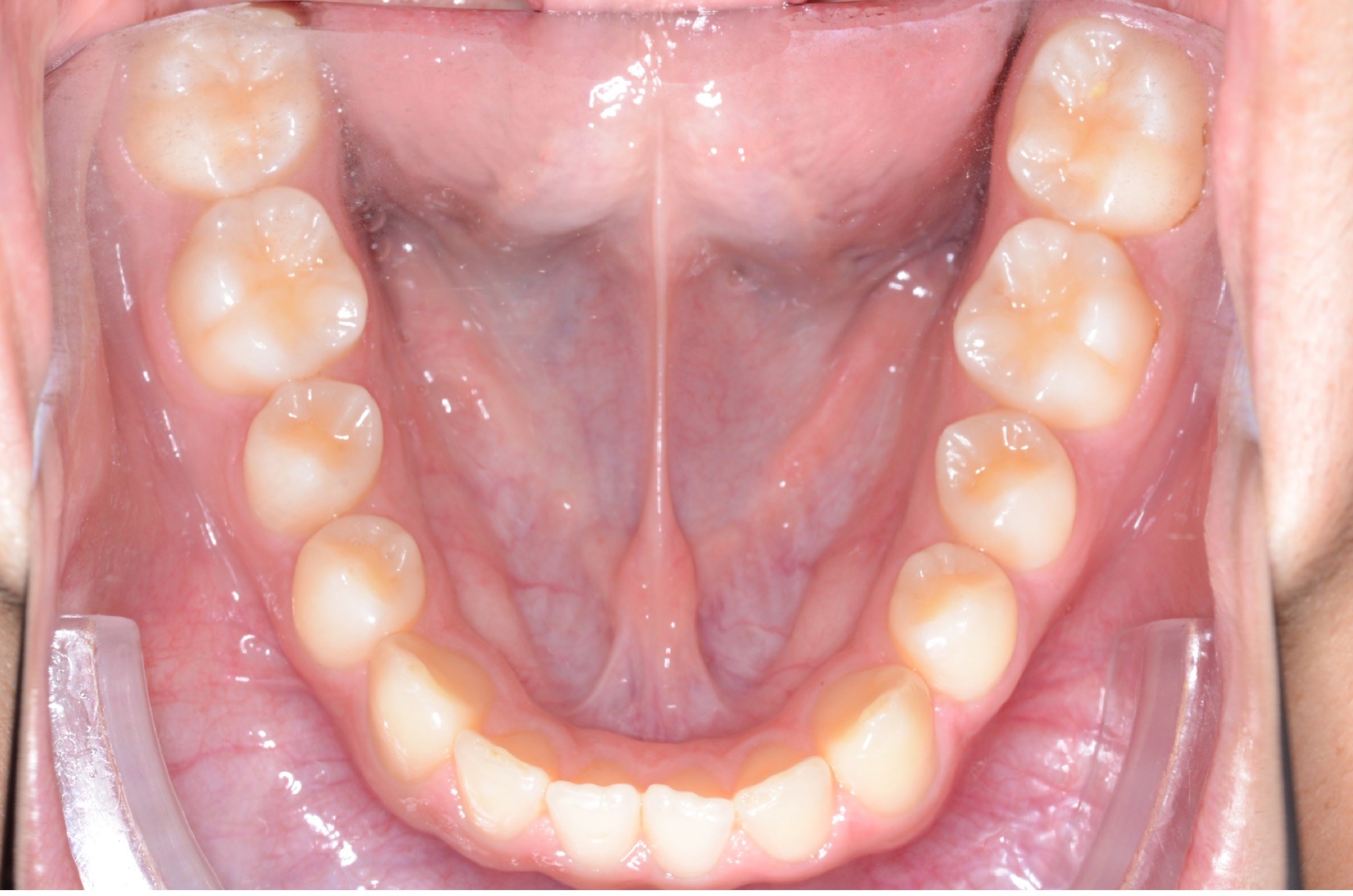
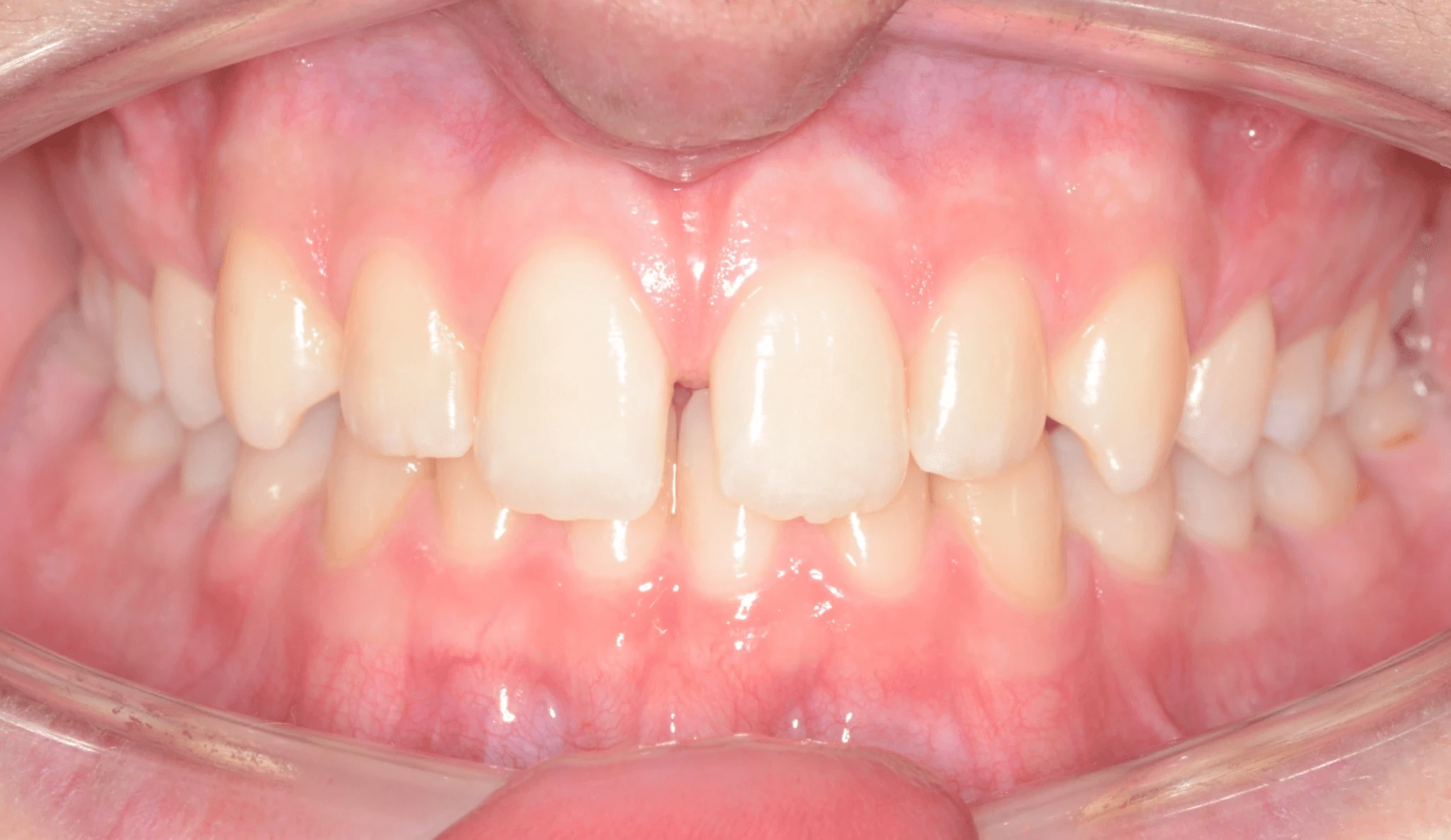
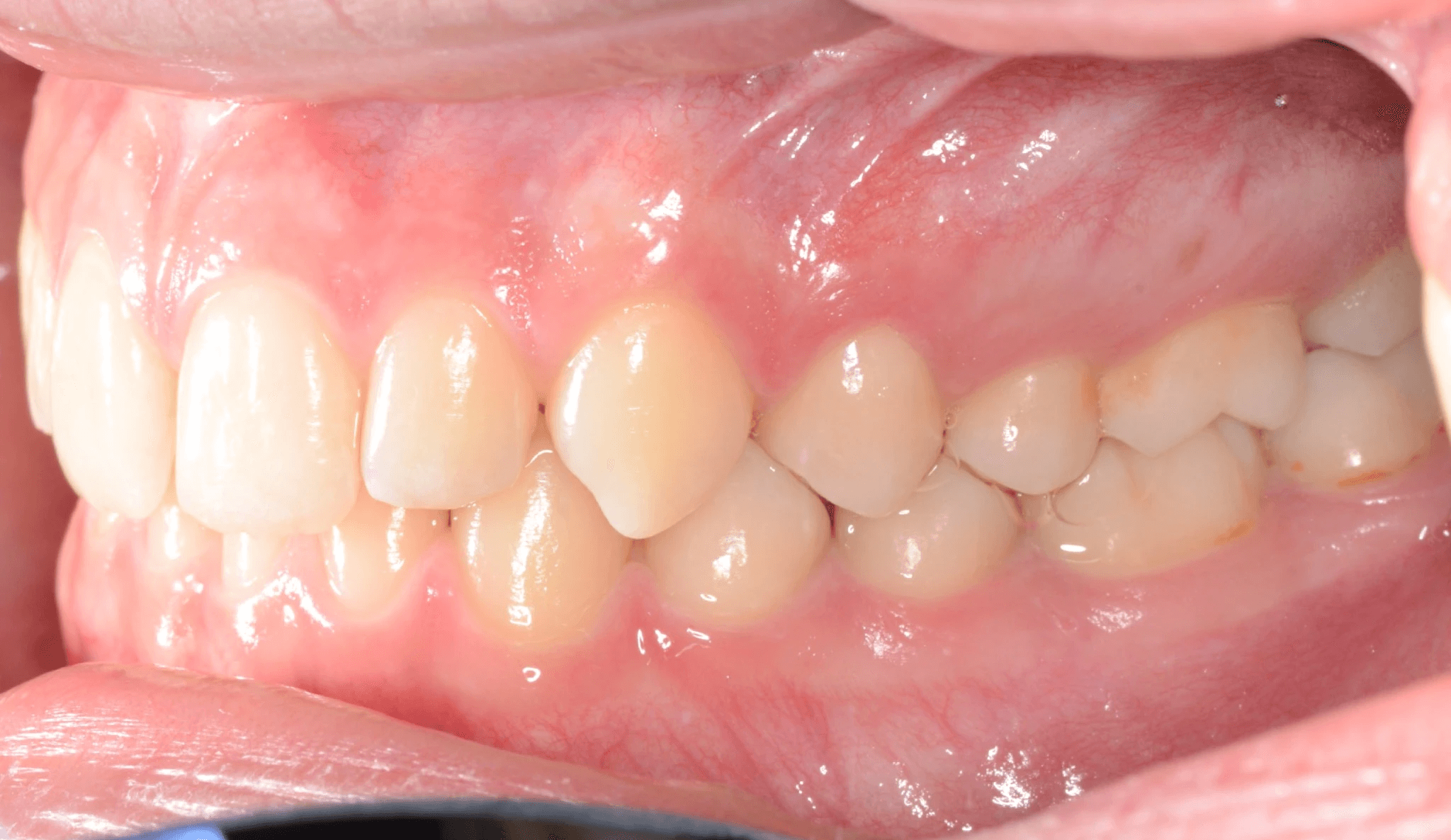
Spacing, Deep Bite
Male, 14 | Treatment time: 14 months
Diagnosis: Anterior spacing, deep bite, overbite
Adjuncts: Elastics, attachments, IPR
Initial treatment
INTRAORAL


X-RAYS
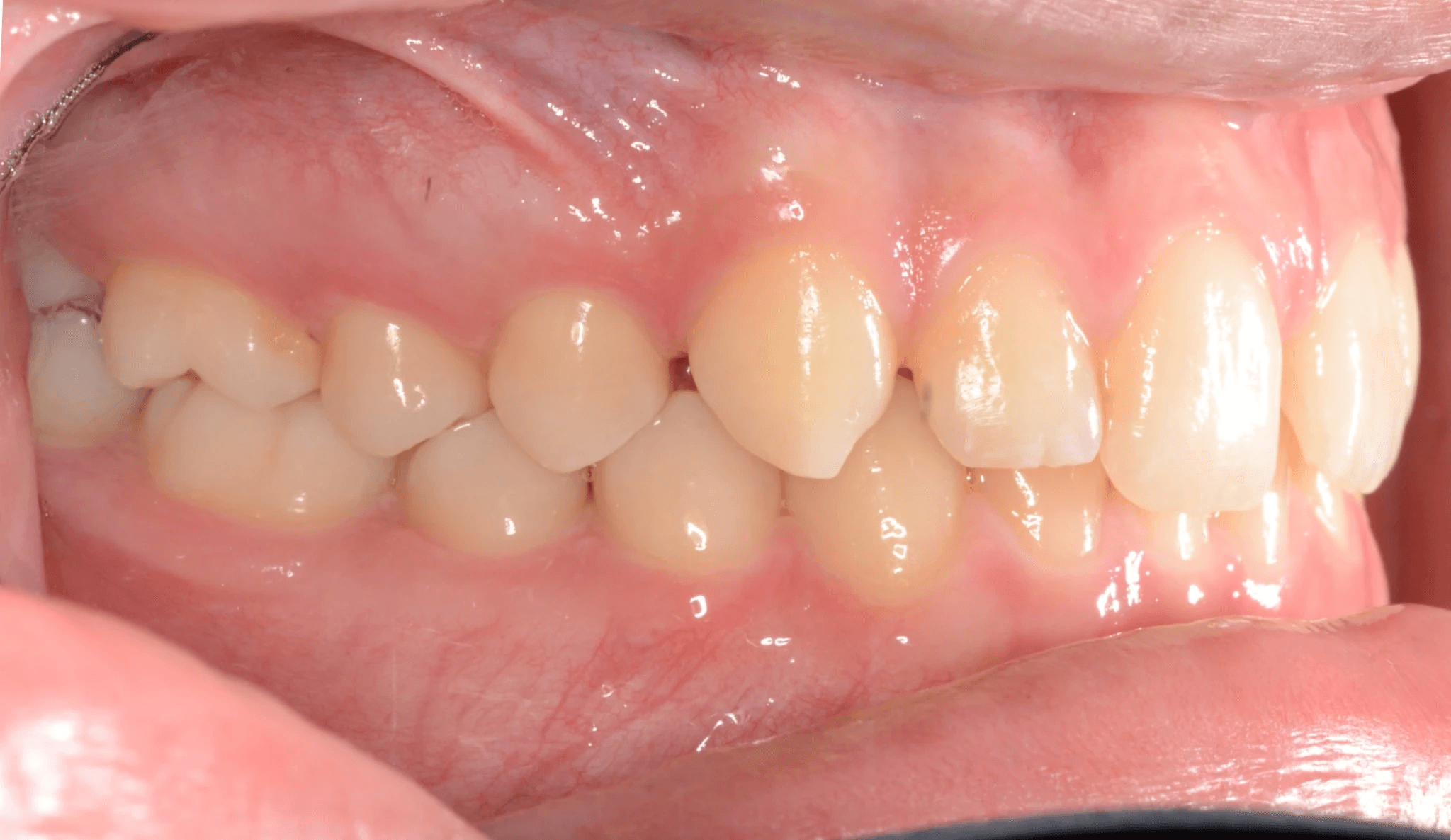
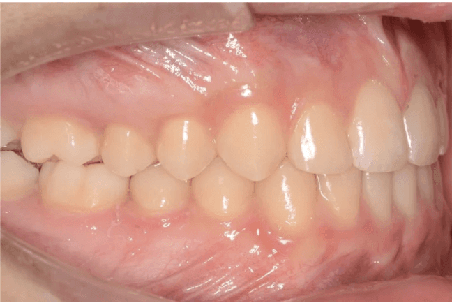
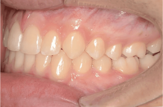
Final results
INTRAORAL


X-RAYS










