Treatment details

Dr. Clark Colville
Clinical Lead at Oliv, Orthodontic Specialists
Moderate Crowding
Male, 50 | Treatment time: 10 months
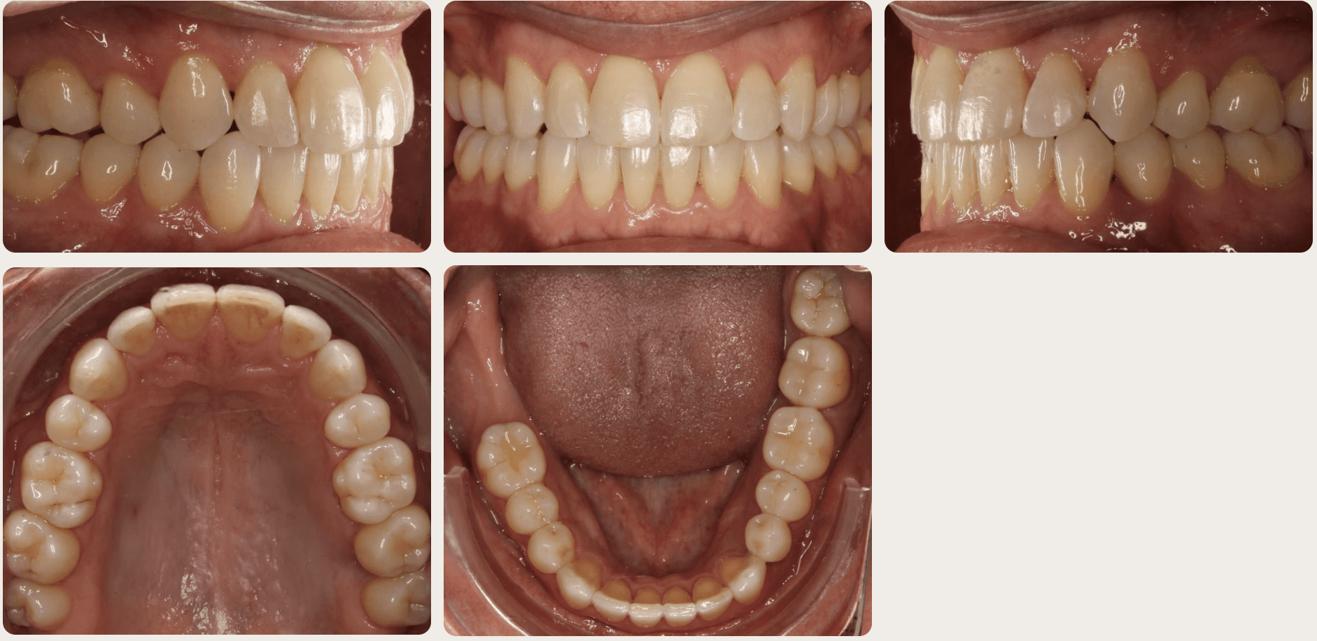
Diagnosis: Minor and moderate crowding, anterior open bite, reverse smile arc, narrow maxilla, crossbite, tapered arch form
Adjuncts: Class III elastics, attachments, IPR
Initial treatment
INTRAORAL


X-RAYS

Final results
INTRAORAL
X-RAYS












