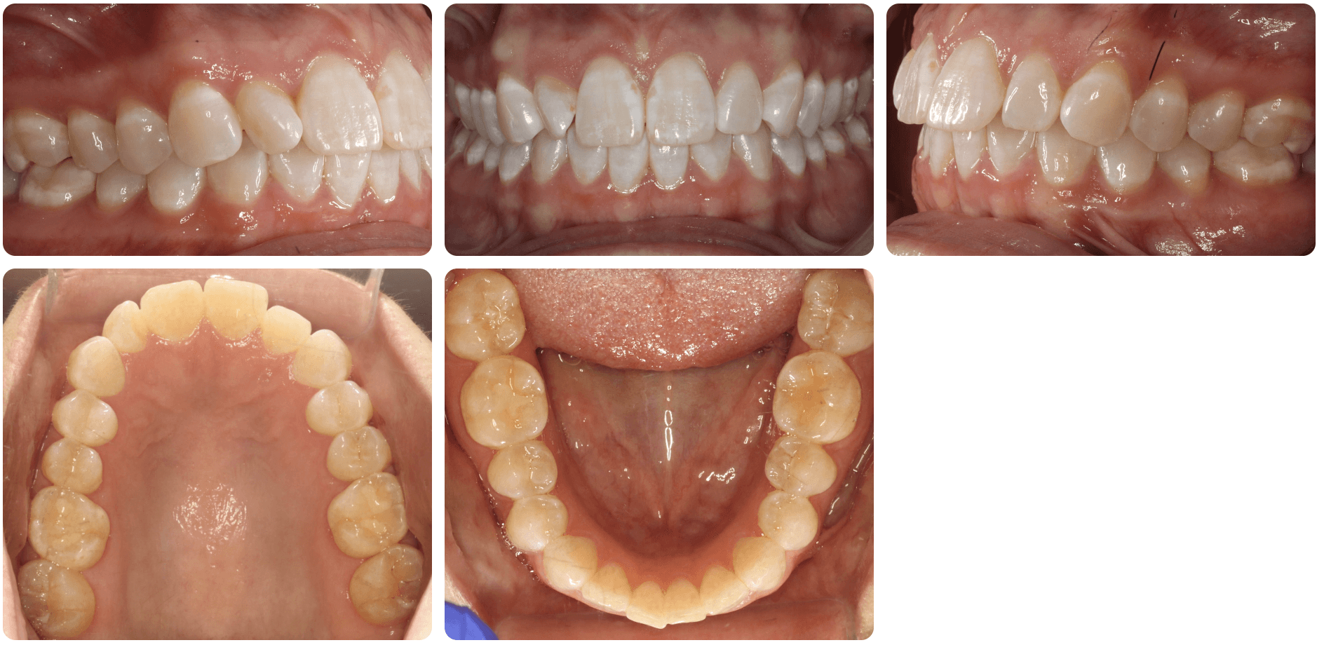
Treatment details

Dr. Blake Davis
Kirkland & Redmond Orthodontics
Mild Crowding
Female, 34 | Treatment time: 13 months
Diagnosis: Deep bite, lower anterior crowding, rotated upper lateral, arch misalignment, wear on teeth from grinding
Adjuncts: Attachments, IPR
Initial treatment
INTRAORAL
X-RAYS

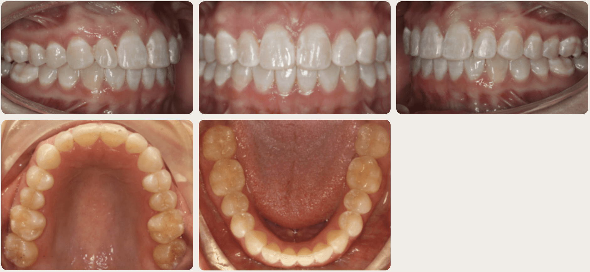
Final results
INTRAORAL
X-RAYS















