Treatment details

Dr. Clark Colville
Clinical Lead at Oliv, Orthodontic Specialists
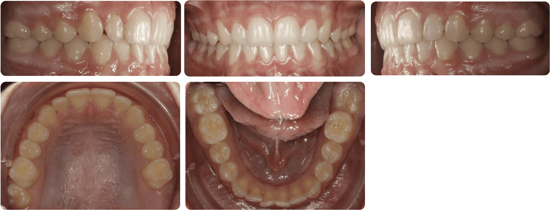
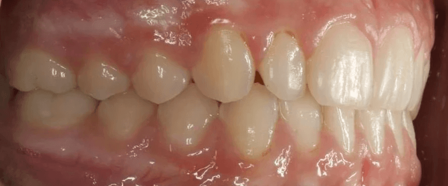
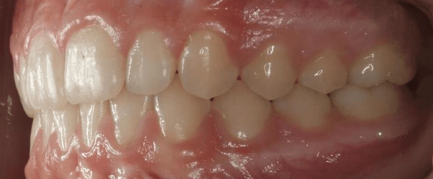
Mild Crowding
Female, 14 | Treatment time: 21 months
Diagnosis: Lower anterior crowding, mild maxillary spacing, misalignment of anterior teeth, rotated premolars and molars
Adjuncts: Class II elastics, attachments, IPR
Initial treatment
INTRAORAL
X-RAYS

Final results
INTRAORAL
X-RAYS








