Treatment details

Dr. Clark Colville
Clinical Lead at Oliv, Orthodontic Specialists
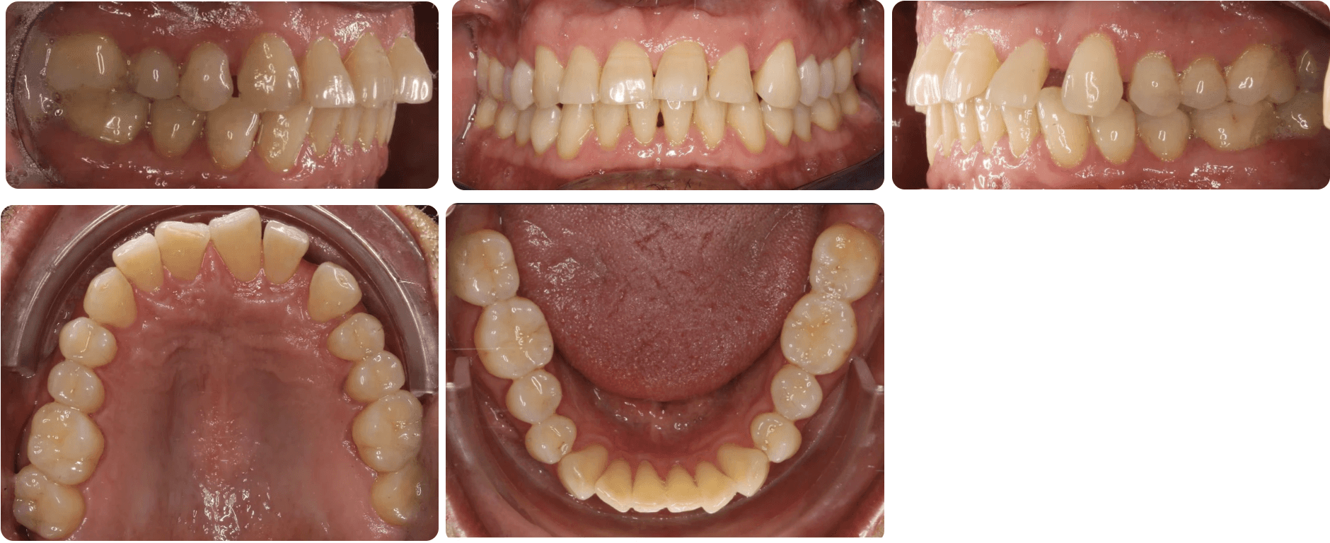
Mild Crowding
Male, 52 | Treatment time: 15 months
Diagnosis: A mix of crowding and mild spacing, moderate curve of Spee, black triangles, significant overjet, reverse smile display
Adjuncts: Bite ramps, attachments, IPR
Initial treatment
INTRAORAL
X-RAYS

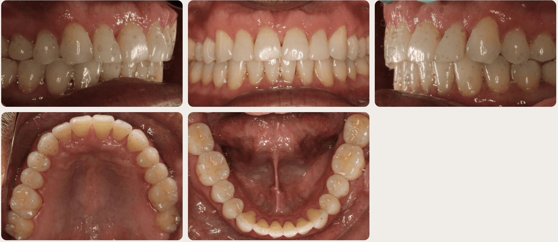
Final results
INTRAORAL
X-RAYS
















