Treatment details

Dr. Akash Pandya
SmileOn Orthodontics
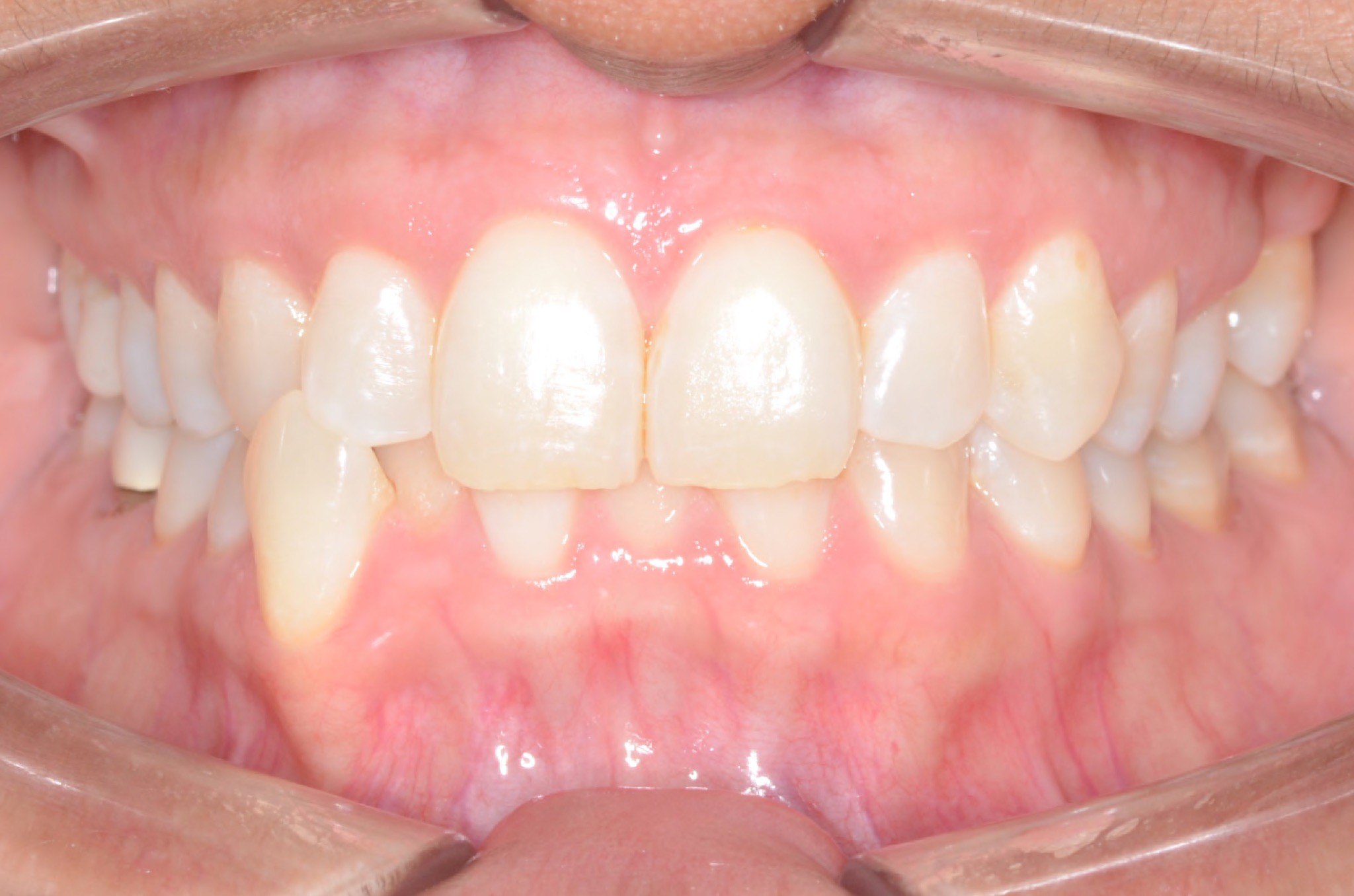
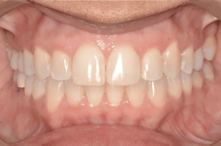
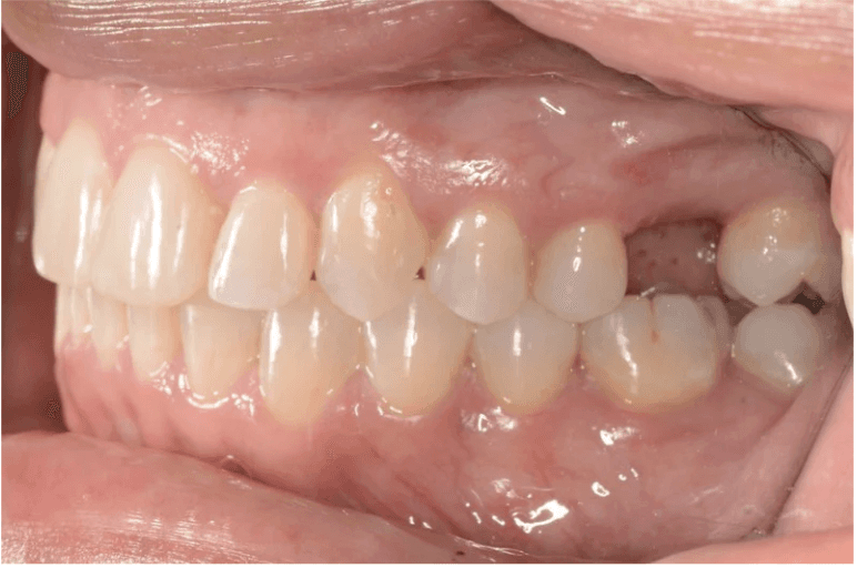
Crossbite, Deep Bite
Female, 43 | Treatment time: 12 months
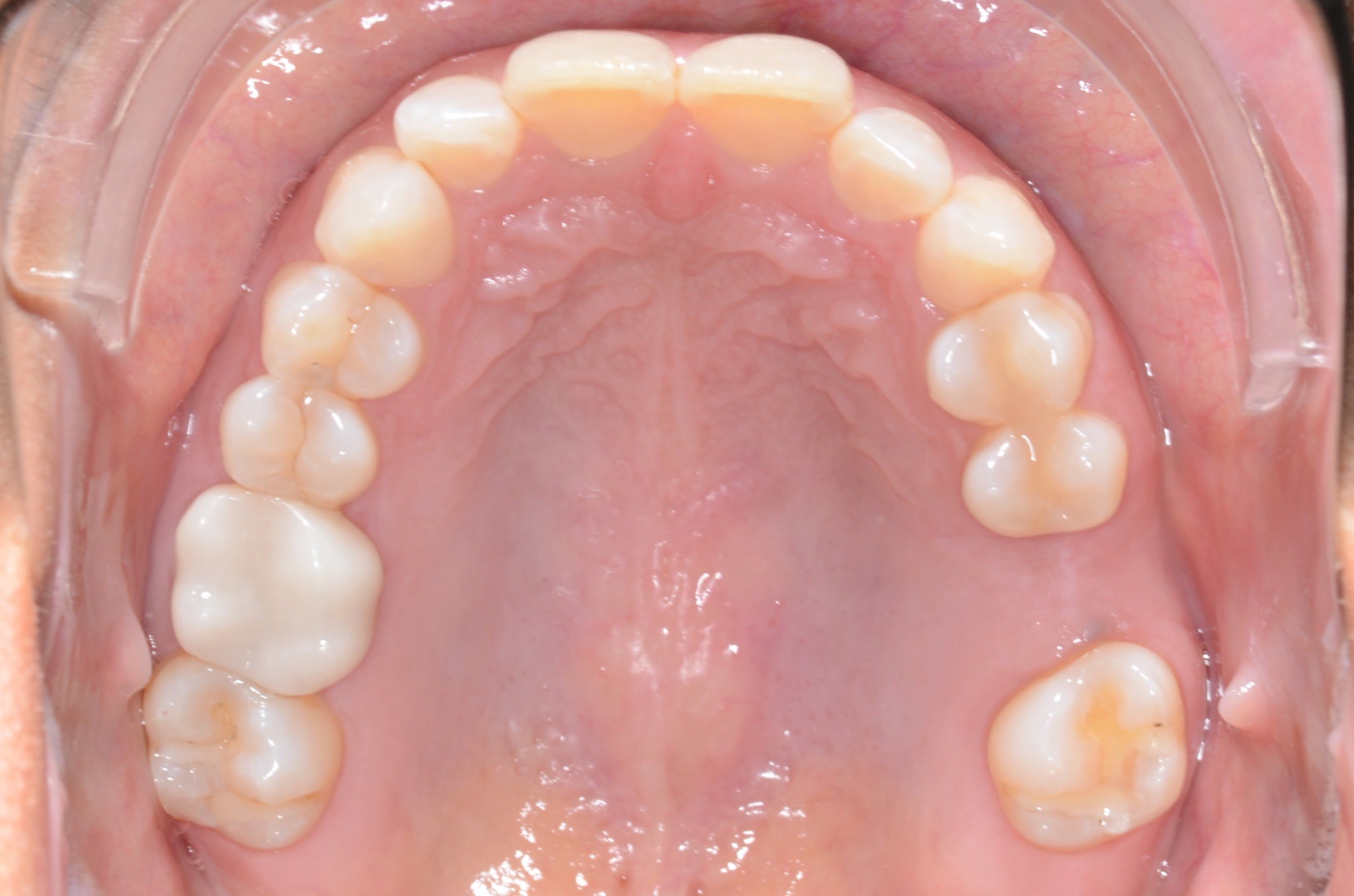
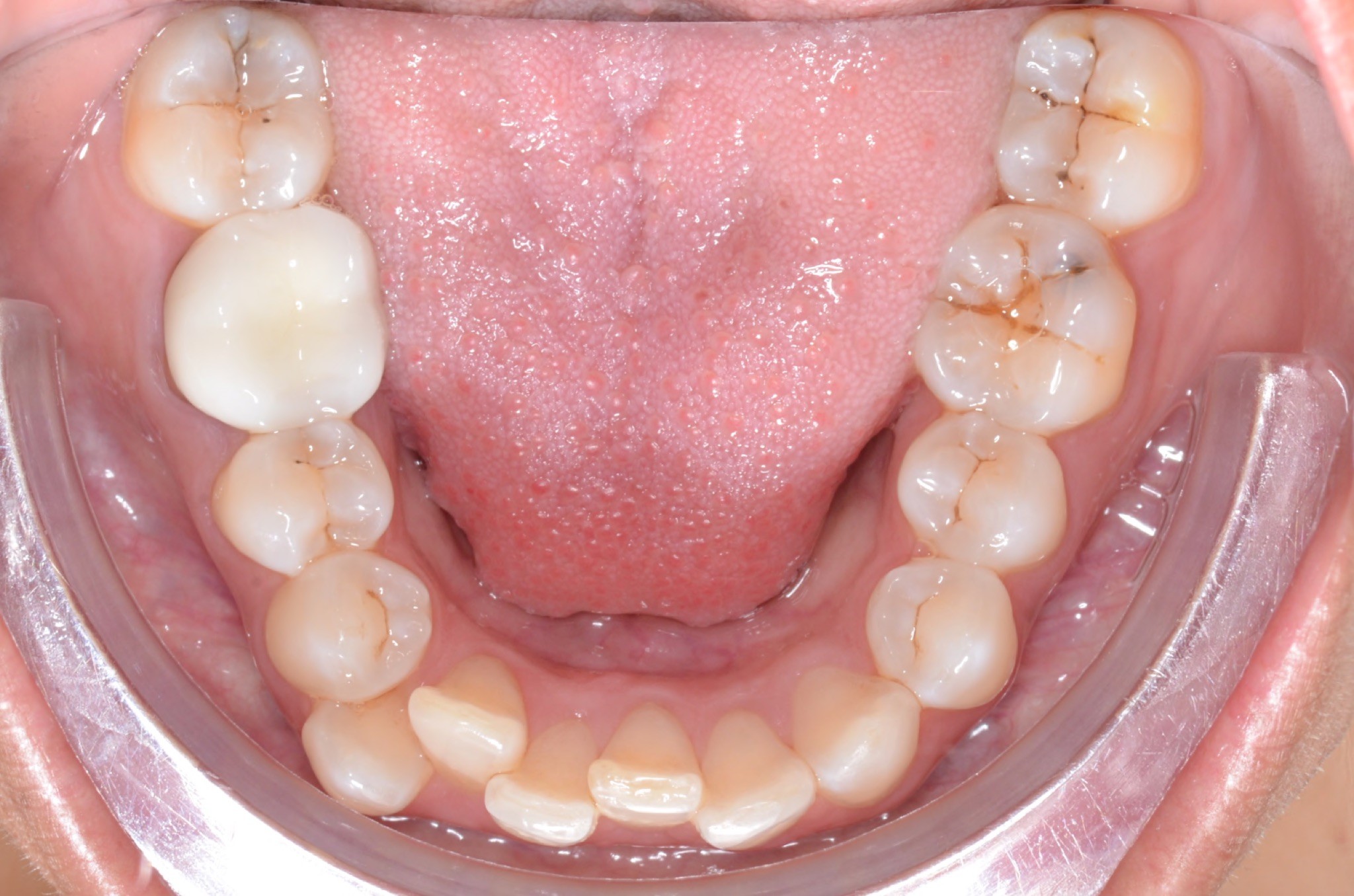
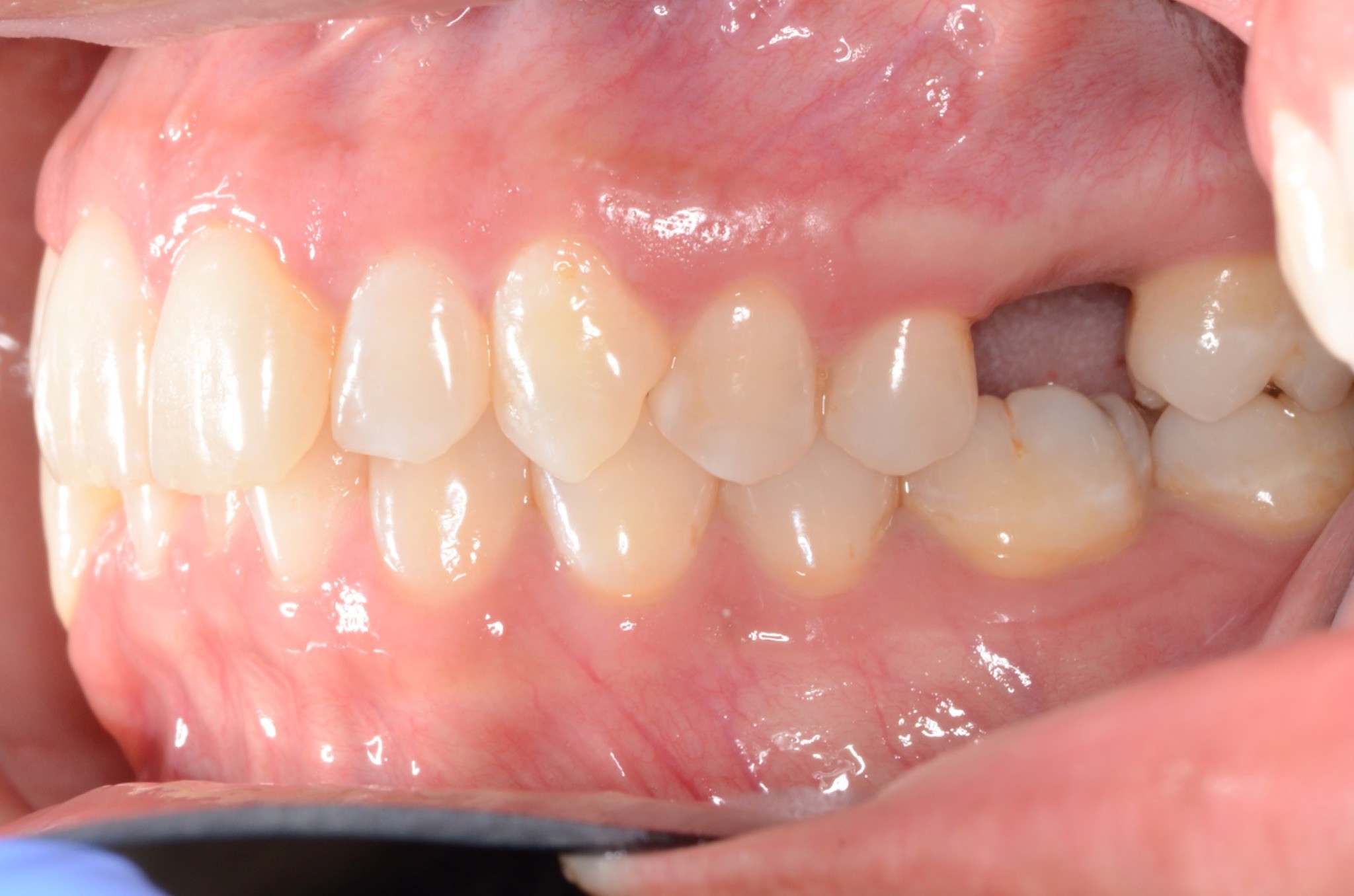
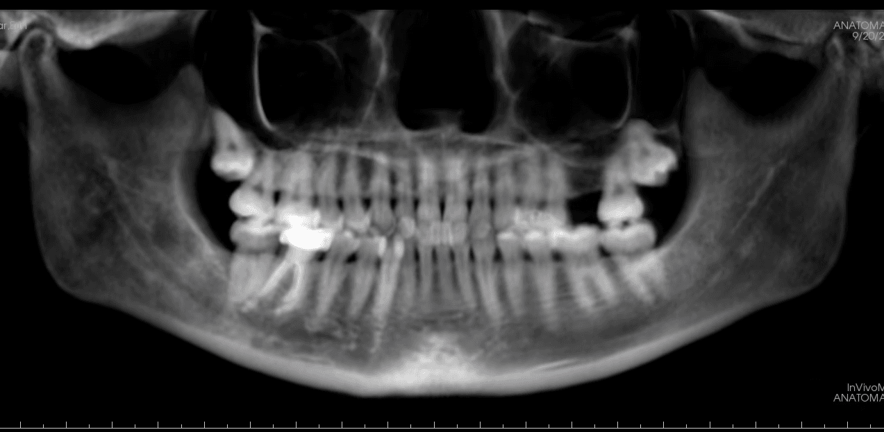
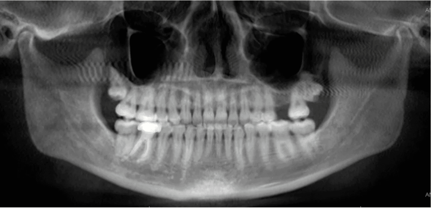
Diagnosis: Lower anterior crowding, LL3 crossbite, deep bite, missing UL6.
Adjuncts: Bite ramps, attachments, IPR
Initial treatment
INTRAORAL


X-RAYS
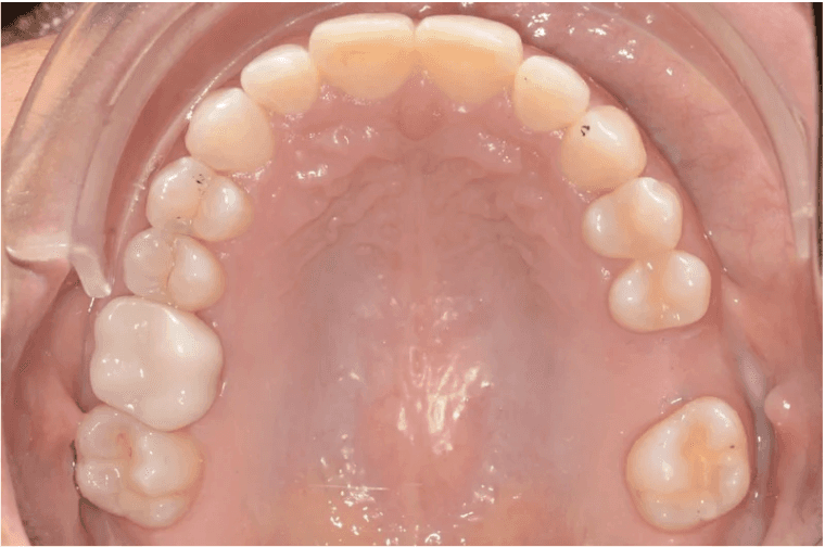
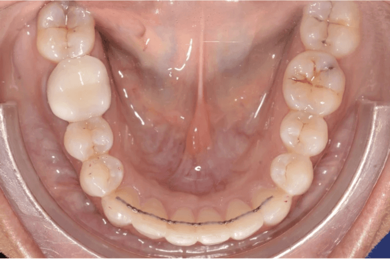
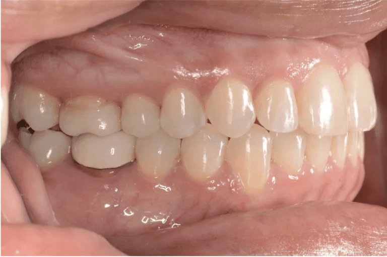
Final results
INTRAORAL


X-RAYS










