Treatment details

Dr. Robert Geiman
Child & Adult Orthodontics
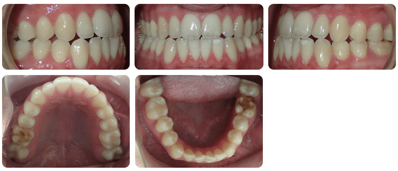
Class III Crowding
Male, 21 | Treatment time: 8.5 months
Diagnosis: Class III malocclusion, edge-to-edge anterior relationship, lower anterior crowding
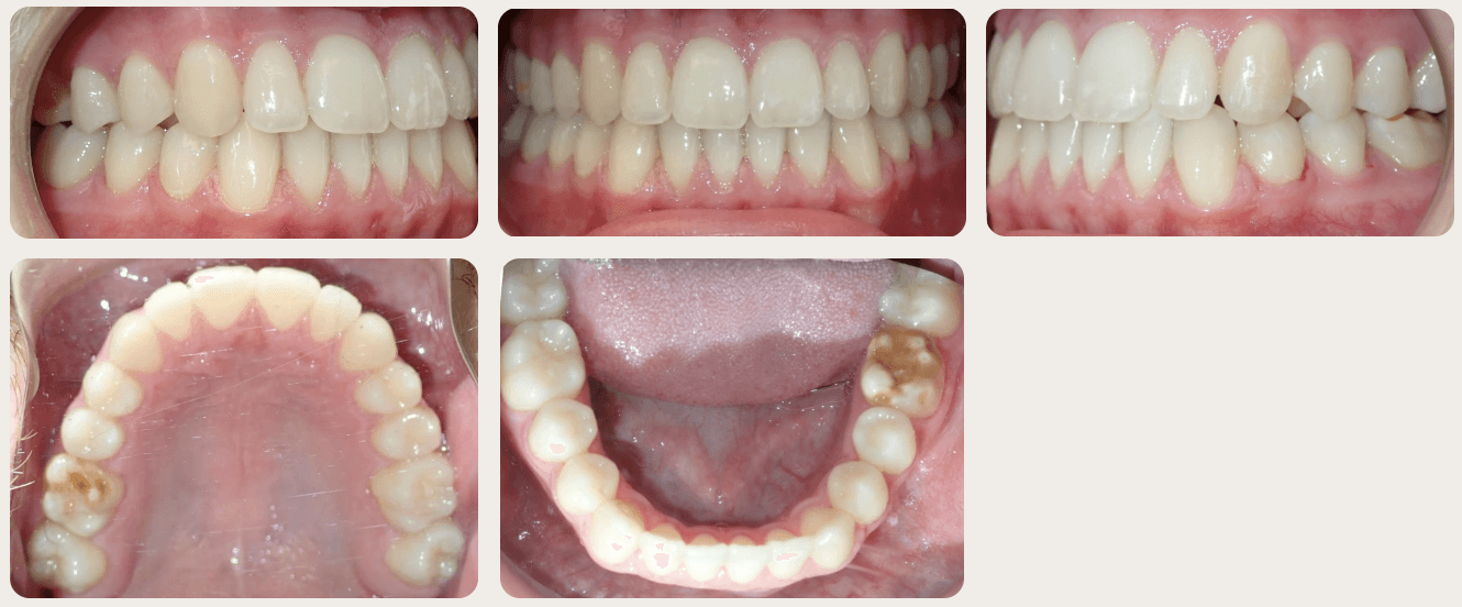
Adjuncts: Elastics, attachments, IPR
Initial treatment
INTRAORAL
X-RAYS

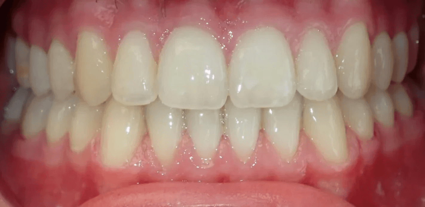
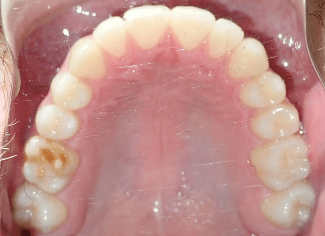
Final results
INTRAORAL
X-RAYS
















