Treatment details

Dr. Akash Pandya
SmileOn Orthodontics
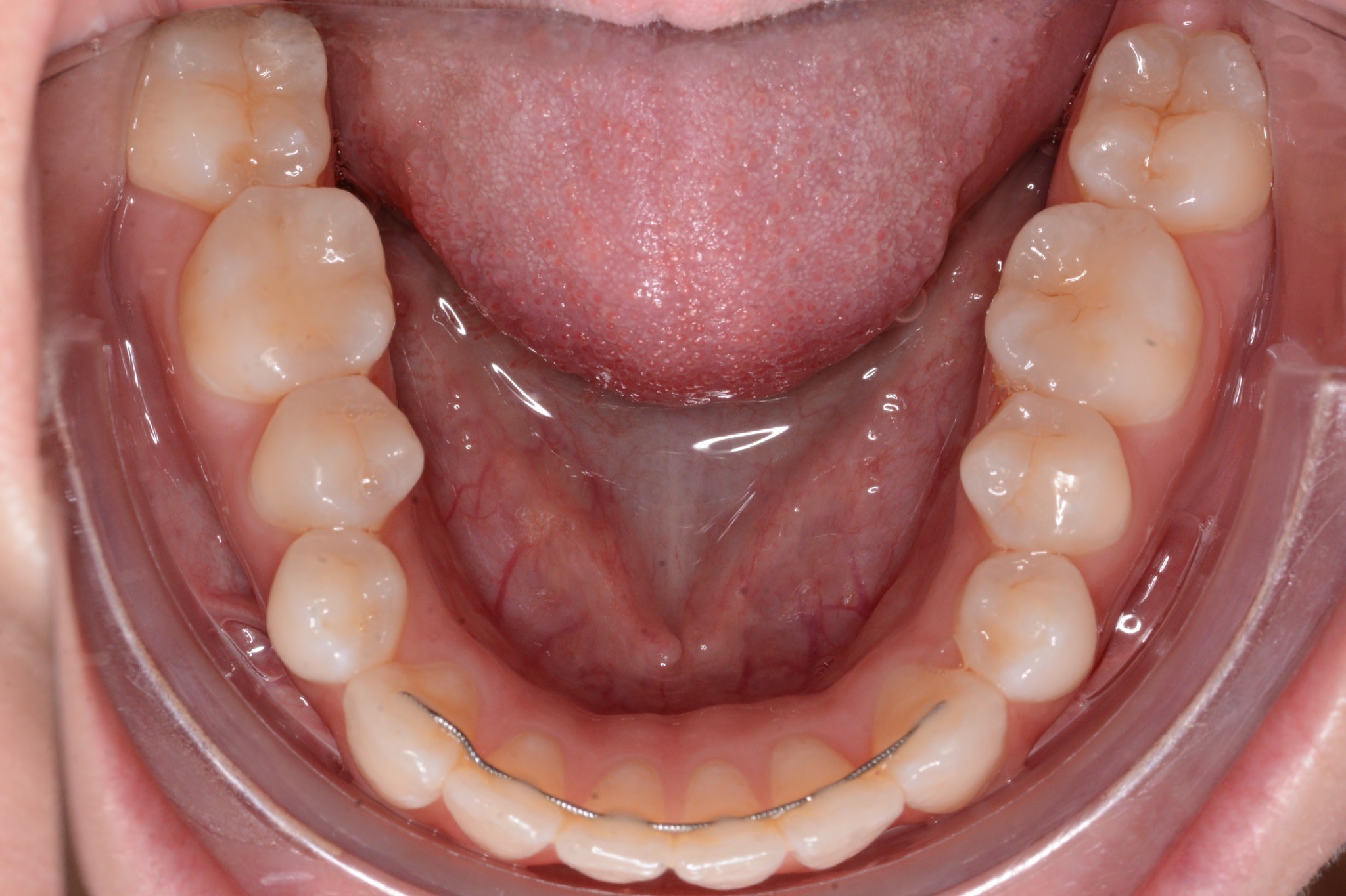
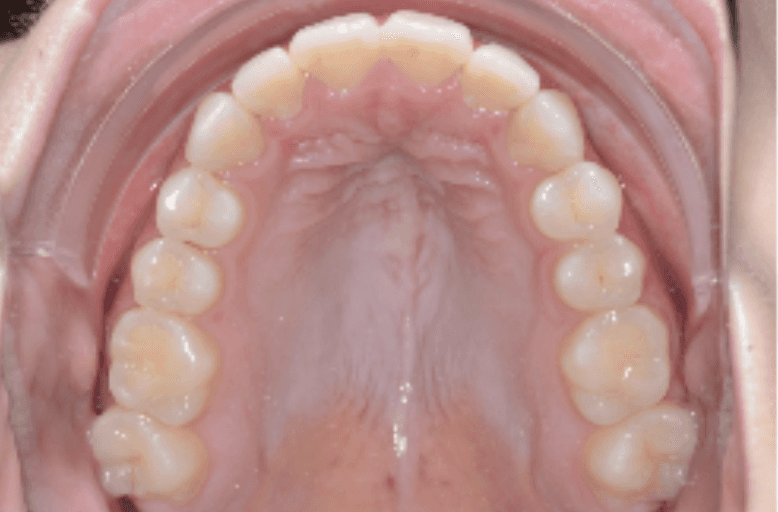
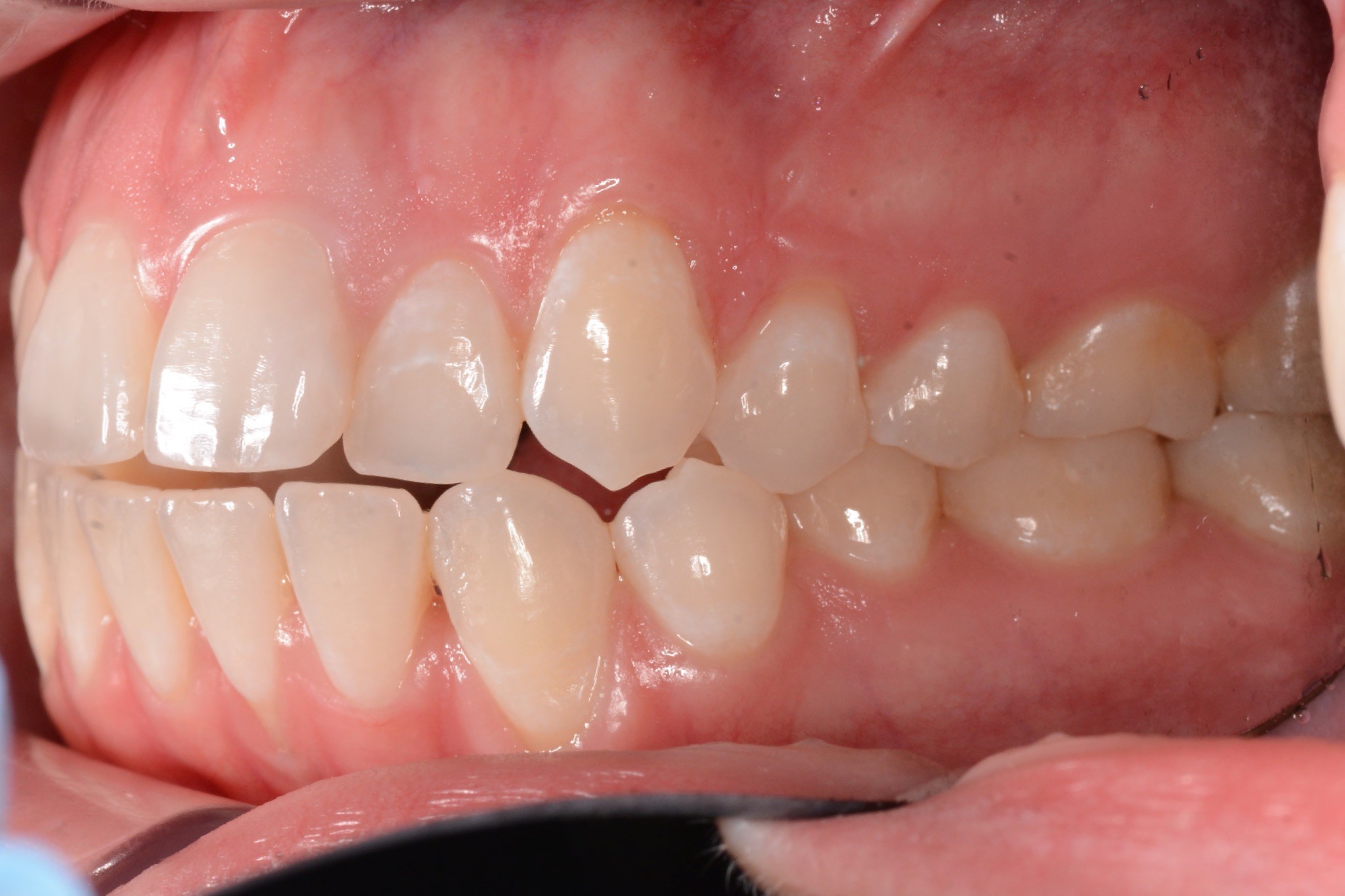
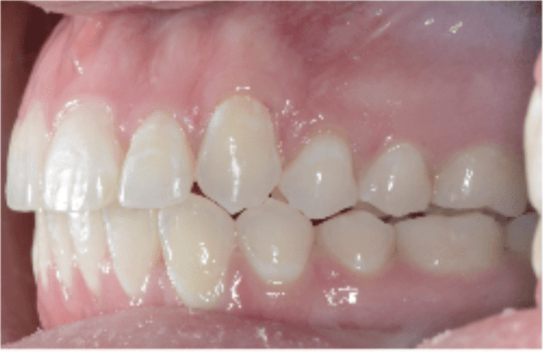
Anterior Open Bite
Female, 23 | Treatment time: 8 months
Diagnosis: Anterior open bite, mild crowding, posterior occlusal contacts
Adjuncts: Elastics, attachments
Initial treatment
INTRAORAL


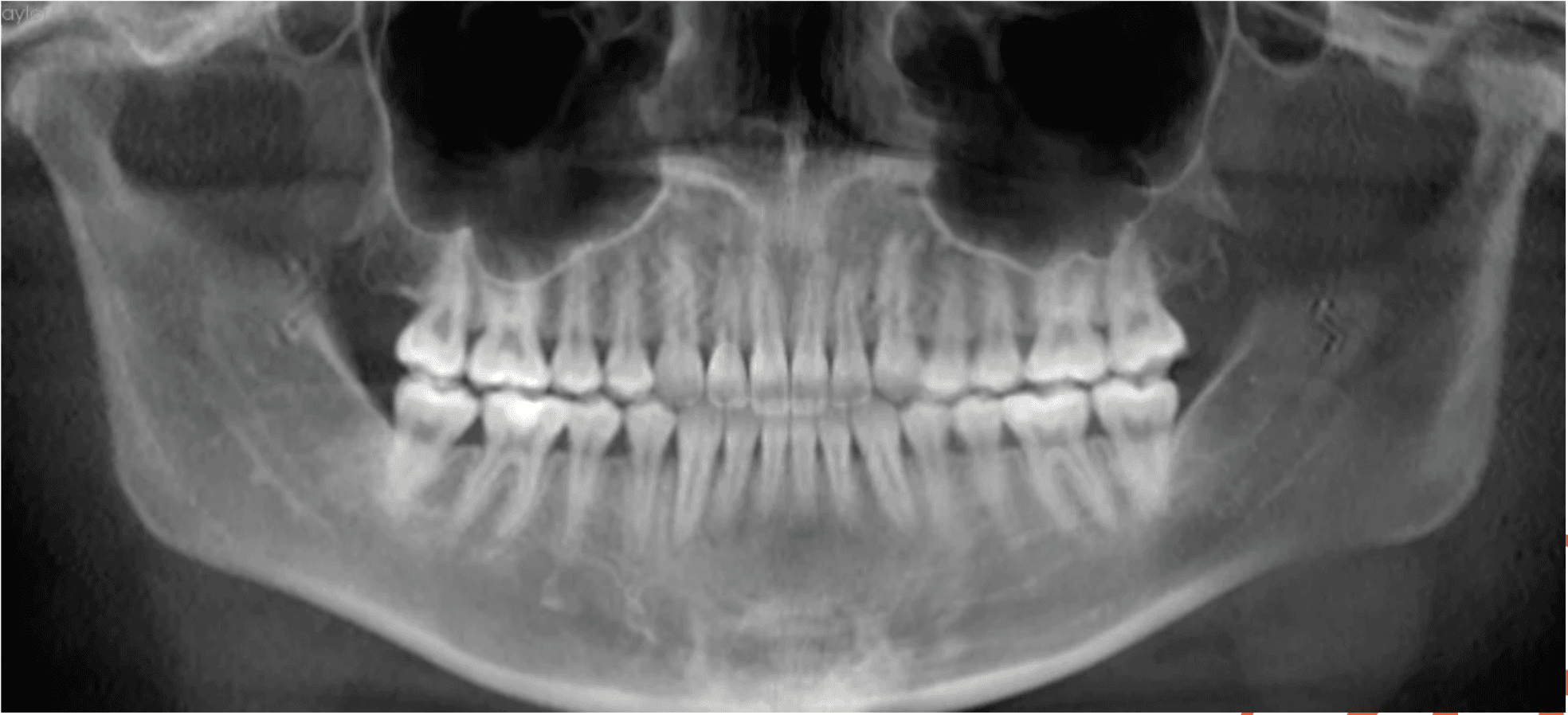
X-RAYS
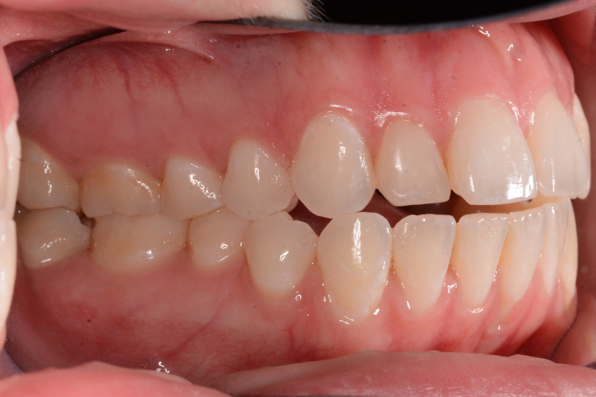
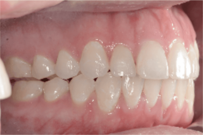
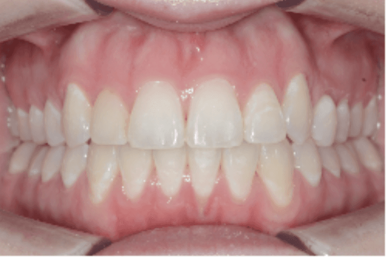
Final results
INTRAORAL


X-RAYS










