Treatment details

Dr. Akash Pandya
SmileOn Orthodontics
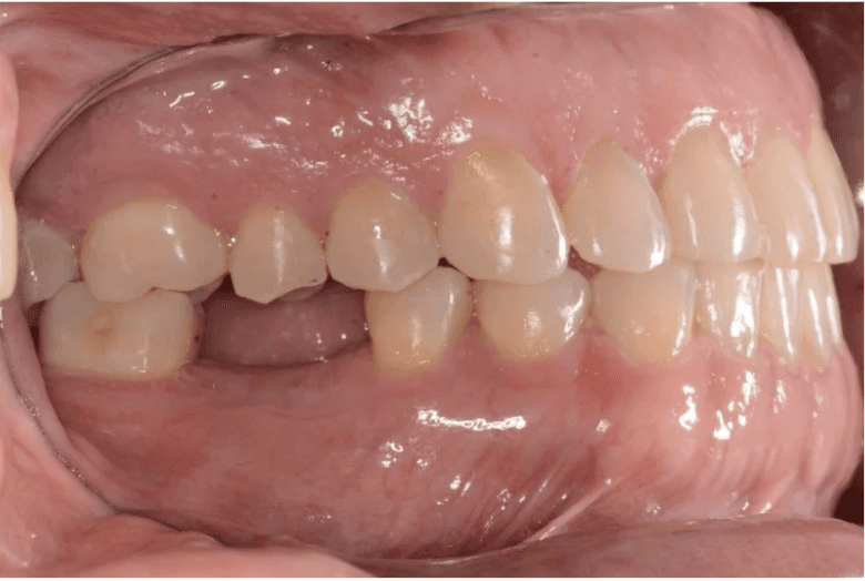
Anterior Crossbite
Male, 48 | Treatment time: 14 months
Diagnosis: Anterior crossbite, Class III tendency, moderate crowding/rotations, pre-restorative
Adjuncts: Elastics, attachments, IPR
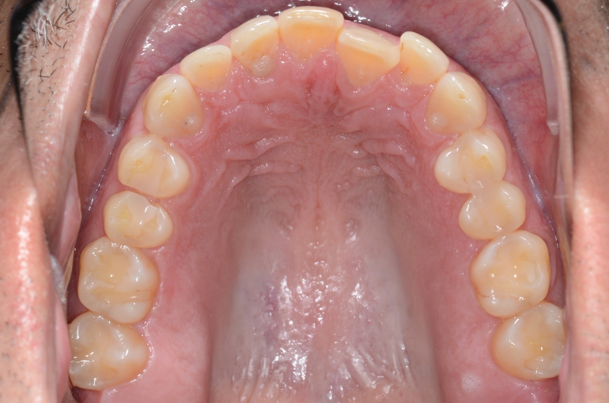
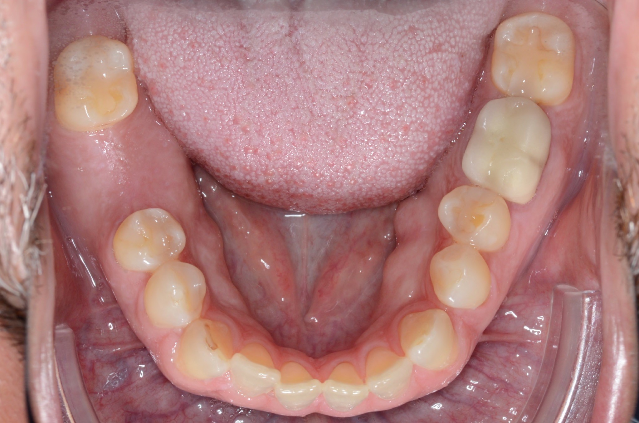
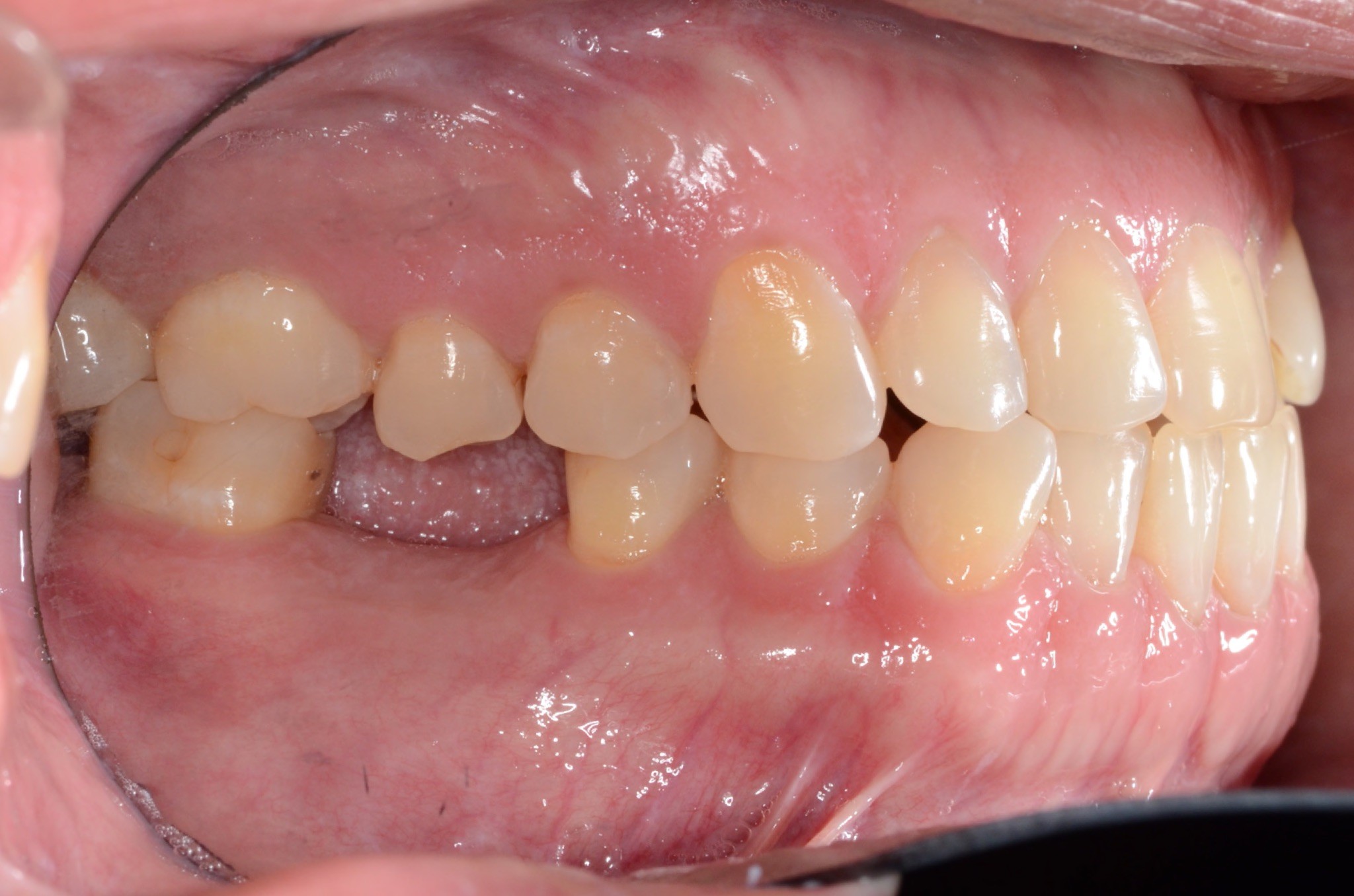
Initial treatment
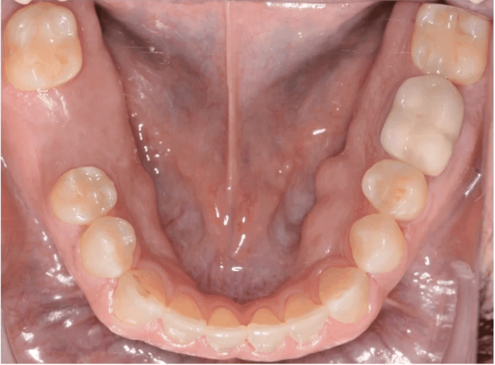
INTRAORAL


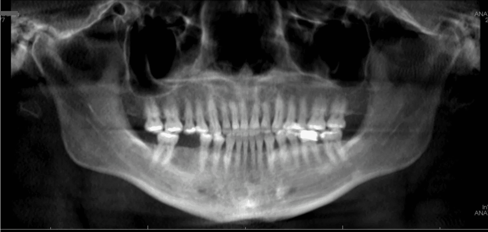
X-RAYS
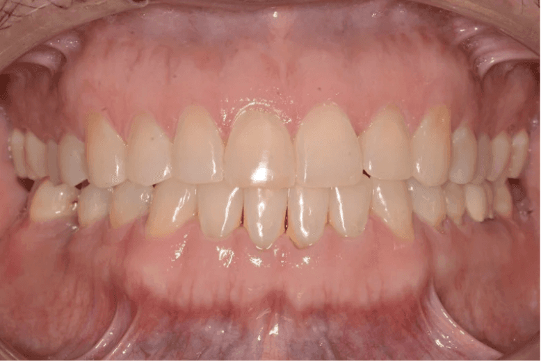
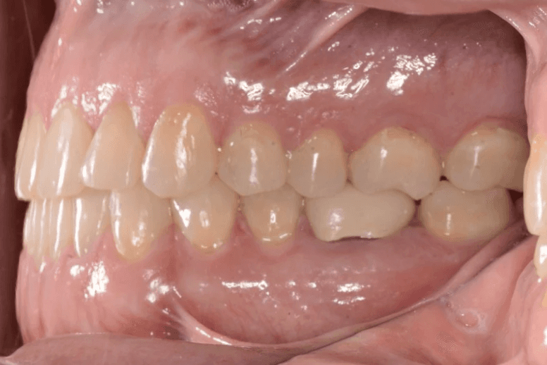
Final results
INTRAORAL

X-RAYS











